颅脑肿瘤精尖技术,引领生命新希望——让高难度手术常规化
鲁网9月18日讯 垂体腺瘤是神经外科常见肿瘤之一,一般垂体瘤的手术技术已非常成熟, 但对于大于4cm的巨大垂体腺瘤的手术治疗因其风险大,且易残留复发一直是颅脑肿瘤领域的难题。
近日,潍坊市人民医院神经外五科(颅脑肿瘤病区)王喆主任团队发挥学科优势,充分利用潍坊市人民医院STORZ高清神经内镜、睿米神经外科手术机器人等先进设备,熟练应用术中实时导航、多模态重建等先进技术,成功完成多例经鼻微创巨大垂体腺瘤切除手术,让此类高难度复杂手术在潍坊市人民医院常规化。

睿米机器人及高清内镜等先进设备,垂体瘤MDT、术中实时导航及多模态重建为复杂垂体瘤手术保驾护航
患者1:
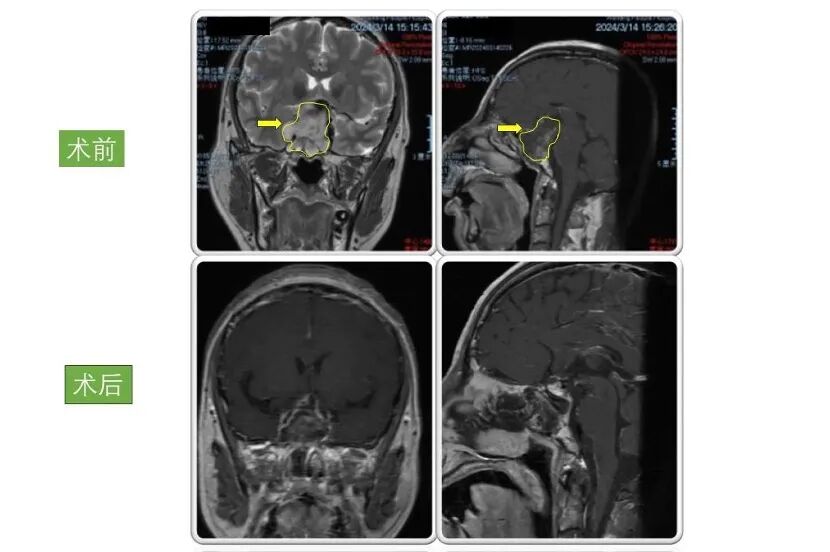
男性,46岁 因“突发头痛伴恶心呕吐、双眼视物不清12小时”入院。入院检查显示巨大垂体腺瘤,大小为4.5×4×4cm。
术后患者双眼视力明显好转,病情稳定后出院,现恢复良好,定期复查。

患者2:
男性,66岁,因“双眼视物模糊4年,头晕伴恶心呕吐半个月”。入院检查显示巨大垂体腺瘤,大小为4.5×3.5×3cm。
术后患者视力好转,恶心呕吐症状消失。病情稳定后出院,现恢复良好,定期复查。

患者3:
男性,50岁,因“头晕伴四肢乏力及小便失禁2周”入院。入院检查显示巨大垂体腺瘤,大小为6.5×3×3cm。
术后患者症状好转,小便失禁症状消失,病情稳定后出院,现恢复良好,定期复查。

近期顺利完成的三例巨大垂体腺瘤手术,肿瘤体积大、形状极不规则、不仅广泛侵及双侧海绵窦、紧密包裹颈内动脉等关键血管,还累及下丘脑及第三脑室等重要结构,均属于高风险手术。术中,任何细微的偏差都可能导致颈内动脉及下丘脑损伤等严重并发症,甚至危及生命。
然而,面对多例高风险手术,潍坊市人民医院神经外五科凭借卓越的专业技能和深厚的经验积累,仅通过单次手术便顺利全切肿瘤。科室团队在结合既往常规垂体瘤治疗经验的基础上,充分利用睿米机器人术中实时导航系统、多模态影像重建等前沿技术,实现了对颈内动脉的精准识别与保护,确保了巨大侵袭性垂体腺瘤切除手术的可控性、全切率与安全性。一次手术全切,不仅有效规避了分期手术可能带来的瘢痕粘连、增加后续手术复杂性与风险的问题,还极大地减轻了患者的二次手术痛苦与经济压力。
神经外五科已广泛开展神经内镜经鼻颅底手术,并牵头组建了潍坊市人民医院垂体瘤MDT小组,汇聚神经外科、内分泌科、放射科、病理科及肿瘤放疗科等多学科专家,共同为垂体瘤患者制定最佳治疗方案。科室始终坚守“以患者为中心”的宗旨,不断探索颅脑肿瘤治疗的新领域、新技术,为更多患者带来生命的曙光,守护每一份健康与希望。(通讯员 苗俊杰)